Věda o krátkých přestávkách
pracovních přestávkách
Právě teď nechcete mít přestávku.
Proč? Protože jste příliš zaneprázdněni.
Někdy víme, že jsou lepší způsoby, jak dělat určitou práci, ale jsme příliš zaneprázdněni, abychom je našli. Tak pracujeme způsobem, jakým jsme vždy pracovali. Pojďme se z vědeckého pohledu podívat na to, proč potřebujeme přestávky v práci.
3 vědecké důvody proč jsou přestávky důležité
1. Přestávky nám pomáhají, abychom byli při práci soustředění a mentálně vyrovnaní
Když je člověk v proudu myšlenek týkajícího se nějakého projektu, cítí se skvěle a vše jde od ruky. Ale to netrvá navěky. Přetáhne-li člověk kapacitu této produktivní zóny, cítí se nekoncentrovaný či dokonce podrážděný. Co se změnilo?
Především lidský mozek nebyl stavěn na příliš dlouho dobu koncentrace, které jsme denně vystavováni. Naše mozky jsou neustále bdělé, protože se z důvodu přežití vyvinuly tak, aby detekovaly tisíce různých změn. Proto extrémní dlouhá koncentrace na jeden úkol, není něčím, v čem bychom mohli vynikat, alespoň několik příštích desetiletí či století.
Dobrou zprávou je, že krátkou přestávkou můžeme pozitivně ovlivnit tyto nekoncentrované chvíle a dostat se tak zpět do tvůrčího procesu.
2. Přestávky nám pomáhají uchovat si informace a vytvářejí souvislosti
Naše mozky mají dva režimy: “Soustředěný režim“, který používáme, když se například učíme něco nového, píšeme nebo pracujeme. „Rozptýlený režim“, což je náš relaxační režim, kdy nejsme soustředěni, moc se nekoncentrujeme a o něčem v myšlenkách sníme. Soustředěný režim využíváme především k produktivní práci, ale rozptýlený režim hraje v tomto případě také svou velkou roli.
Novodobé studie prokázaly, že náš mozek pracuje i v době, kdy se oddáváme tzv. dennímu snění. Zde je pohled na aktivitu mozku v rozptýleném režimu snění.
Některé studie ukazují, že mysl řeší svízelné problémy při denním snění, což jste možná i vy zažili při jízdě v automobilu, procházce či sprchování. Vypadá to, že průlomové myšlenky přicházejí odnikud a jsou často produktem rozptýleného režimu přemýšlení.
To je z důvodu uvolnění spojeného s rozptýleným režimem, který dovolí mozku zachytit a vrátit cenný vhled.
Ing. Prof. Barabara Oakley vysvětluje, že při koncentraci blokujeme vstup do rozptýleného režimu. A rozptýlený režim, jak studie ukazují, je to, co velmi často potřebujeme pro vyřešení velmi náročných či nových problémů.
3. Přestávky pomáhají přehodnotit směr k cílům
Harvard Business Review prozkoumal další důležitou výhodu přestávek. Pomáhají nám odstoupit od problému či úkolu a ujistit nás, že jej provádíme správným způsobem. Když člověk nepřerušovaně pracuje na úkolu, je jednoduché ztratit koncentraci a zabřednout do problému. Naproti tomu po krátké přestávce snadno začneme tam, kde jsme skončili a pár vteřin na zkoncentrování napomůže k rychlému zhodnocení problému, který se snažíme vyřešit. Je to způsob, který v nás povzbuzuje uvědomělost nad naším úkolem či cílem.
Jak se přestat cítit provinile z přestávek?
Víme tedy, že je vědecky prokázáno, že přestávky zvyšují koncentraci, motivaci a obnovují soustředění. Ale projít se nebo se na chvíli protáhnout během práce? Můžeme se opravdu přenést přes pocit viny?
Když se požadavky v životě zintenzivňují, máme tendenci se zakousnout a pracovat velmi tvrdě. Často lidé přemýšlí o tom, že pokud si nevezmou volno, stihnou více věcí a logicky budou i mnohem úspěšnější.
Problém je, že bez přestávek, které nás osvěží a nabijí, se člověk stává méně efektivní, dělá více chyb a je méně zapojený do daného projektu.
Plánované přestávky se stávají běžnou součástí práce u firem jako jsou Google, Apple, Facebook, Ford a mnoho dalších.
4 metody přestávek, které můžete vyzkoušet
Jste-li připraveni začlenit přestávky do vašeho pracovního dne, zde jsou některé metody, které můžete vyzkoušet.
1. Pomodoro
Jedním z běžných způsobů, jak začlenit do pracovního rozvrhu přestávky, je pracovat v malých časových pásmech. Pomodoro je na to jako stvořené. Nastavíte si časový odpočet na 25 minut a když čas vyprší, dáte si 5 minutovou přestávku. Protáhnete se, napijete se nebo se jen opřete a relaxujete. Po čtyřech Pomodoro úsecích si vezmete 30 minutovou přestávku.
Práce v takovýchto časových periodách vám pomůže zbavit se rozptýlení a budete více soustředění. Při časově omezených úsecích budete tlačeni úkol dokončit o něco dříve, protože čas běží. Při této metodě si dejte pozor, abyste na sebe příliš netlačili a nevytvářeli nadměrný tlak. POMODORO technique
2. 90 minutové pracovní bloky
Devadesáti minutové pracovní intervaly jsou po dlouho dobu oblíbenou efektivní metodou, protože pracuje s přirozeným rytmem naší bytosti.
Při testech a studiích atletů, herců, šachistů a houslových virtuózů bylo zjištěno, že nejlepších výsledků dosahují při koncentrovaných úsecích ne delších než 90 minut.
Chceme-li maximalizovat výtěžek z dlouhotrvající práce, je nutné, aby se jednotlivec vyhnul vyčerpání a aby limitoval práci do takového množství, ze kterého se úplně zotaví, jak při dennodenní tak při týdenní práci.
3. Metoda 52 – 17
Třetí možností, kterou některé studie uvádějí jako nejproduktivnější ze všech je metoda 52 - 17.
Pomocí stopek a produktivity Draugiem Group studovala zvyky nejproduktivnějších zaměstnanců a zjistila, že nejproduktivnější lidé pracují 52 minut a poté mají 17 minutovou přestávku, než se vrhnou do dalšího práce.
Zjistili, že 10% nejproduktivnějších pracovníků je schopno většinu práce udělat v relativně krátkých časových úsecích, jako kdyby se k jejich pracovnímu času chovali jako ke sprintu. Většinu úkonů udělají v těchto 52 minutách, kdy pracují velmi intenzivně. Poté relaxují a připravují se k dalšímu pracovnímu „sprintu“.
4. Dvě 15-minutové přestávky za den
Pokud vám časové bloky nevyhovují nebo je díky vaší práci nemůžete aplikovat, pak zvažte jednoduché, ale stále efektivní řešení. Naplánujte si dvě 15 minutové přestávky za den – jednu uprostřed dopoledne a druhou uprostřed odpoledne kolem 15 hodiny. Tato hodina patří k nejméně produktivním a proto byste ji určitě neměli vynechat.
Každý člověk je jiný a také má jiný druh práce, proto nebude všem vyhovovat stejná metoda. Z tohoto důvodu si vyberte některou z výše uvedených metod efektivních přestávek.
9 produktivních aktivit během přestávek
Nyní víme, jak jsou přestávky důležité. Jak ale správně a efektivně naložit s časem? Zde je několik návrhů s prokazatelným užitkem.
1. Protáhněte se nebo si lehce zacvičte
Fyzická aktivita je nesmírně důležitá nejenom pro větší pracovní efektivitu, ale také pro prevenci zdravotních problémů z dlouhodobého sezení.
2. Projděte se
20 minutová procházka zvýší krevní oběh v mozku, což zlepšuje paměť, bystrost a pracovní kreativitu.
Pokud můžete, tak se běžte při pauze na chvíli nadýchat čerstvého vzduchu do parku či přírody. Strávený čas v přírodě je velmi dobrý pro naší imunitu, snižuje stres a zvyšuje soustředěnost. Usínáte-li při práce projděte se.
3. Občerstvěte se
Dostatečný pitný režim a správná strava udržuje soustředění a celkovou pohodu člověka po delší dobu viz článek Do zdravé kanceláře, zdravé pochoutky číst dále…
4. Kreslete si a čmárejte
Kreslení či doslova čmárání stimuluje nové myšlenky a pomáhá být koncentrovaný. Proto nechte vaší mysl potulovat se s perem po papíře.
5. Zaposlouchejte se do hudby
Zaposlouchání se do hudby může výrazně zvýšit naše motorické a mentální schopnosti a podpořit naše zdraví. Důležitý je ovšem také správný výběr hudby.
6. Zdřímnutí
Pracujete-li ve velmi progresivní kanceláři, můžete tam najít místo pro 10-20 minutové zdřímnutí. Již 10 minutový spánek prokázal zlepšení pracovní efektivity a snížení únavy a usínání.
Když byl na dlouhých letech pilotům umožněn 30 minutový spánek, jejich reakční doba se zlepšila o 16%. Pilotům bez tohoto zdřímnutí se během letu reakce snížila až o 34%.
7. Meditace a dechová cvičení
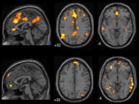
Jeden z nejvíce efektivních způsobů, jak nechat váš mozek odpočinout je krátká meditace. Na druhém obrázku vidíte jak jsou beta vlny (barevné mapy na levém obrázku) dramaticky sníženy během meditace (obrázek vpravo).
Meditace a dechová cvičení snižují stres, zlepšují celkové zdraví, náladu a kreativitu.
8. Podívejte se na rozkošný zvířecí obrázek
V jedné neuvěřitelné studii prokazovali účastníci lepší výsledky při různých úkolech při dívání se na rozkošná zvířecí mláďátka. Pouze tato zvířecí mláďátka měla ten správný účinek. Dospělá zvířata tento efekt neměla.
9. Procvičte oči
Pokud koukáte na monitor po většinu dne, vaše oči potřebují odpočinek.
Jak již bylo uvedeno, pozitivní účinky přestávek, spojené s pohybem na pracovišti, se projeví mimo jiné lepším prokrvením svalů a mozku, protažením a uvolněním napjatých svalů, zvýšením tonusu (tj. svalovým napětím) ochablých svalů, povzbuzením krevního oběhu, relaxací očí a zlepšením koncentrace. Jaké cviky během pauzy zvolíte, bude záležet na tom, jaké zátěži jste vystaveni. Fyzická zátěž spíše způsobí ztuhnutí svalstva. V takovém případě se doporučuje program na protažení. Jestliže pracujete (jako většina lidí za psacím stolem) vsedě a bez tělesné námahy, měli byste vedle cviků na protažení udělat i pár cviků posilovacích. Pokud máte typické pracoviště za počítačem, je na místě doporučit vám především dechová cvičení a techniky pro ulehčení očí.
Courtey Seiter
https://open.buffer.com/science-taking-breaks-at-work/#dsq-app1












